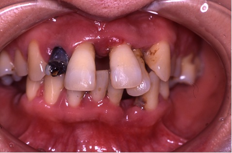
治療により改善した幾つかの症例 症例1 年齢38歳 女性の症例 症例の詳細をご覧板だけます。クリックして下さい。 症例2 年齢 43歳 女性の症例 症例の詳細をご覧板だけます。クリックして下さい。 症例3 42歳 男性の症例 症例の詳細をご覧板だけます。クリックして下さい。