治療により改善した幾つかの症例
症例1
年齢38歳 女性 主訴(来院した患者さんの目的)
口が開かない、右で噛むと 左側顎関節部の疼痛。
(1)

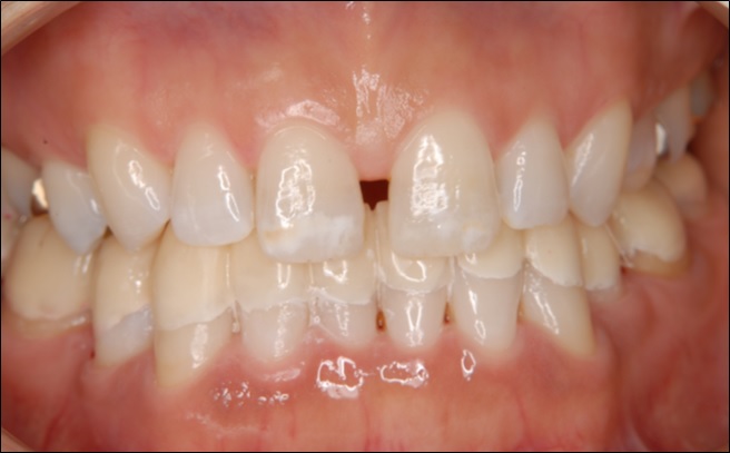
初診時
<口腔内所見>
あまり大きく開口出来なかったのですが、欠損部もなくカリエス、歯石、、歯周出血、歯肉腫脹、口臭もなく動揺もなかった。
但し、上顎右中切歯、左中切歯の歯間離開が認められるが小帯の影響や下顎前歯があたってとは関係ないと思われる。左下7のインレーダツリがある。
開口しようとすると左顎関節部に痛みがあり、雑音(ミシミシ)を認める。
口の周りの筋肉には痛みもなく左耳の手前の関節部に痛みがみられる。
(2)
<診断> 諸検査の結果から、左変形性顎関節症と診断しました。
<治療計画>
カリエスや歯周病処置がないので、プラークコントロールを基本に噛み合わせ治療が中心になりました。
固定式オーソシスの作製、装着
↓
リサーフェス
↓
オーソシスの調整
↓
症状の改善
今後の治療の進め方の説明とカウンセリング
確認書
↓
顎位の安定
固定式オーソシスの作製、装着
↓
リサーフェス
↓
オーソシスの調整
↓
症状の改善
今後の治療の進め方の説明とカウンセリング
確認書
↓
顎位の安定
(3)

<症状を含んだ初診時の口腔内の模型>
(4)

症状を緩和する為に正しい顎の位置に修正した口腔内模型 上下に隙(すきま)出来た状態
(5)

隙間を埋めるため冠(オーソシス)作って隙間を埋め修復した
(6)

オーソシスを装着した状態(高さが高くなった)
(7)

治療終了後の口腔内写真
(8)

治療終了後の口腔内写真
(9)

治療終了後の口腔内写真
(10)

治療終了後の口腔内写真
(11)

治療終了後の口腔内写真
(12)
主訴(来院した患者様の目的) 口が開かない、右で噛むと左側顎関節部の疼痛 等の症状が治まった正面と上下の口腔内の写真